1. 병리과의 암 진단 현황
오늘의 결론으로 이야기하고자 하는 주제를 먼저 말씀드리자면, '인공지능을 이용한 의료 영상 분석 대상으로 가장 적합한 것은 병리 이미지이다'가 되겠습니다. 그 내용들을 순차적으로 풀어 보겠습니다.
암을 확진하기에 이르기까지 다양한 진단 과정이 수반됩니다. 의사의 진찰, 내시경, 조직검사, 세포검사, 암표지자검사, 영상진단검사(X-ray, CT, 초음파, MRI 등), 핵의학검사(PET, 골스캔, 갑상선스캔 등), 종양표지자 검사 등의 다양한 방법이 이루어집니다. 그러나, 이 길고 긴 일련의 과정에서 최종적인 암의 확진은 병리과에서 암조직을 통해 암세포를 진단함으로써 이루어지게 됩니다. 하나의 신체기관에서도 여러 종류의 세포에 암이 발생할 수 있기 때문에, 반드시 세포검사를 통해 병리학적으로 암세포의 종류를 확인해야 하기 때문입니다. 이 때 병리과 의사들의 가장 중요한 도구는 현미경으로, 환자의 검체를 절편으로 만들어 염색한 후 세포 및 조직 등의 세부적인 구조, 모양, 색깔, 길이, 표면적 등을 눈으로 보고 판단을 내리게 됩니다. 이 과정은 병리학의 발달 이래 크게 변화가 없던 번잡하고 수고로운 과정이며, 지난 수십 년 동안 다양한 방법으로 병리과 의사들의 이미지 분석을 보조하려는 연구들이 수행되어 왔습니다1 2 3 4.

그러나 현미경을 통해 조직을 관찰하는 과정에서 오류나 판독의 불일치가 꽤 높게 발생합니다5. 실제 미국의 병리과 전문의 수천 명을 대상으로 240개의 검체를 판단하도록 하였을 시, 총 6,900번의 판독 중 정답율이 75.3%에 지나지 않는다는 연구 결과6도 존재합니다.

또한 병리과에 대한 처우가 열악7 8하여 담당의사들의 업무과중으로 오진가능성이 높다는 보도가 있을 정도로 업무량 감소를 도와줄 보조진단기기에 대한 니즈가 존재합니다. 국내의 경우 병리전문의 1인당 연간 4,300~16,700건의 조직검사를 판독하며, 병리진단의 36~51% 가 오진위험에 노출되어 있다는 조사 결과9가 있습니다. 또한 전국 1,200여 병원급 의료기관 중 오직 160곳 만이 병리과가 있으며, 이에 따라 수탁검사기관에서 소수의 전문의가 많은 판독을 하고 있는 상황입니다. 또한 최근 5년간 진행된 전공의 모집에서 병리과 정원은 60명대를 유지하였지만 지원율은 2016년 66.1%, 2017년 60.7%, 2018년 41.7%, 2019년 35.0%로 계속해서 떨어진 바 있습니다.
거기에 더해서 서구식 식습관 및 건강검진 활성화 등 다양한 영향으로 국내 암 환자 수가 증가하고 있으며, 그에 비례하여 암 조직검사 수 또한 해마다 늘고 있습니다. 2015년 기준 112만건에 달하는 조직 검사가 시행되었다고 하며, 그만큼 오진 사례도 점차 늘고 있다고 합니다. 한국소비자원의 조사결과(‘17/07/14), 병의원의 오진 피해 10건 중 6건이 암 오진에 해당한다고 하며, 이 중 의료진의 판독 오류에 해당하는 비율이 33.6%에 해당하는 것으로 발표되었습니다. 이처럼 병리학 분야의 업무 과중 및 진단 상이 가능성으로 인한 오진 가능성이 높아짐에 따라, 병리분야에서 AI를 접목한 의료시장이 향후 급격히 확대될 것으로 전망됩니다.

2. 디지털 병리학의 발전
앞서 기존 병리과에서는 검체 슬라이드를 현미경을 통해 확인하게 된다고 말한 바 있습니다. 그러나 최근 들어 Virtual microscopy 기술의 발달로 슬라이드를 디지털이미지화할 수 있게 되었습니다. 슬라이드가 디지털화됨에 따라 컴퓨터 알고리즘을 사용하여 수치적으로 분석할 수 있으며 암 진단의 정확성과 효율성을 향상시킬 수 있게 되어 휴먼에러 및 소요시간을 줄일 수 있는 가능성이 생기게 된 것입니다.
디지털 슬라이드는 물리적 슬라이드에 비해 쉽게 데이터를 공유할 수 있으며 보관에도 용이합니다. 언제든지 재발할 수 있는 암 등 중증질환 특성상 다른 의료영상 이미지와는 달리 환자들의 병리 슬라이드는 버리지 않고 보관하는 것이 병원의 일반적인 관리 형태라고 합니다. 실제 전국에서 암환자가 가장 많이 몰리는 서울아산병원에서 한 해 만들어지는 병리 슬라이드는 90여만장이며, 1989년 개원 이래 지금까지 만든 모든 병리 슬라이드를 보관하고 있어 장소 문제가 병원 내부에서 제기되고 있는 실정입니다. 서울대병원의 경우는 한해 약 20만장의 병리 슬라이드를 만들고 있는데, 역시 개원 이래 모두 보관하고 있어 현재 경상북도 문경에 있는 서울대병원 연수원을 창고로 이용하고 있습니다. 따라서 문경의 병리 슬라이드가 필요한 경우 문경 직원이 서울로 직접 가져오고 있어, 이러한 불편을 이기지 못해 서울대병원에서는 2년 전부터 모든 병리 슬라이드를 디지털화 시도하고 있습니다.10
문제점이라면 디지털 스캐너가 고가의 장비라는 것과, 디지털 슬라이드는 고해상도로 스캔해야 하기 때문에 이미지 용량이 무척 크다는 것에 있겠습니다. 숫자의 암기에 약해서 확신할 수는 없지만 일반적인 디지털 슬라이드 한 장에 4GB 정도의 용량이 필요하다고 합니다. 따라서 디지털 스캐너의 초기 구입 비용 뿐만이 아니라 지속적인 데이터 스토리지 구입 비용이 필요합니다. 이와 같은 불편사항 때문에 병원들 측에서는 병리 슬라이드 디지털화에 따른 수가개발을 요청하고 있으며, 정부 또한 필요성을 인정하고 있습니다.
인공지능 및 디지털 솔루션 도입에 가장 적극적인 분들이 병리과 분들이 아닐까 싶습니다. 실제로 작년 5월부터 대한병리학회는 보건복지부로부터 ‘인공지능 관련 수가 가이드라인 연구’를 위탁해 진행한 바 있으며11, 9월에 AI 급여 가이드라인을 발표한 바 있습니다. 주된 내용은 레벨 1(진단업무 효율 향상), 레벨 2(진단 정확도 향상), 레벨 3(치료 효과 향상), 레벨 4(비용 효과성)의 4레벨 구분 과정을 거쳐 기술적 가치를 판단하고 판독료 가산 등 수가체계들 정비해야 한다는 내용이었습니다.

작년 11월 하순, 대한병리학회 의료정보연구회 주관으로 ‘디지털병리 가이드라인 권고안 수립을 위한 공청회’가 개최되어 디지털병리 분야 수가 개발 등에 관한 의견들이 모아지기도 하였습니다. 해당 행사를 통해 ‘디지털병리 가이드라인 권고안’을 주제로 디지털병리 적용범위, 시스템에 사용되는 하드웨어 및 소프트웨어에 대한 고려사항, 성능평가를 위한 지침 및 고려사항, 원격병리 지침 및 고려사항 등의 개요부터 슬라이드의 기본 요건, 보존 기간, 저장 방식, 유효성 검증 방식, 병리 수가 등 구체적인 사안까지 논의가 진행된 바 있습니다.12
3. 인공지능의 의료 분야 진출 현황
인공지능 기술은 이미 현대인의 생활 전반에 깊숙이 활용되고 있으며, 점차 인간의 편의와 안전을 위한 모든 영역에 범용적으로 확산될 것임은 부정할 수 없을 것입니다.
식약처에서도 이에 따라 인공지능 기술이 적용된 의료기기의 허가, 심사 가이드라인 초안을 2016년 12월에 발표한 바 있습니다. 환자 맞춤 치료법 제공이 가능한 AI 접목 의료기기의 폭발적 시장 확대가 예상됨에 따라(2020년 2.2조원→2030년 27.5조), AI 기술이 적용된 의료기기의 분류기준 및 품목분류와 허가/심사 방안을 제시한 자료였습니다. 이후 정식 가이드라인이 2017년 11월에 발표되었으며, 후향적 임상시험을 인정하고, 학습 데이터 수정 시 변경 허가가 불필요함을 밝혔습니다. 이후 2019년 10월에 발표된 개정안에서는 적용대상 범위 확대 및 본질적 동등성에 대한 비교 설명 등을 추가하였습니다. 해당 가이드라인에서는 의료영상을 분석하거나 단순 표시하는 소프트웨어는 2등급으로, 질병의 유무 또는 중증도 등을 표시하여 진단 및 예측에 활용할 수 있는 소프트웨어는 3등급으로 분류하였습니다. 구체적으로는 병명의 표기가 있을 경우 즉, 진단 결과에서 ‘암’이라는 단어가 언급되면 3등급으로 승인 받아야 합니다.

상기 기준에 따라 다수의 의료기기들이 2~3등급으로 승인 받은 바 있으며, 상세 내용은 하기와 같습니다.

딥러닝이 급속도로 발전하기 시작한 2012년 이후 발행된 논문들에 따르면, 미국에서만 한 해에 40만 명 이상이 의사의 실수로 사망13한다고 합니다. 또한 의사의 역할은 대부분 유지된 채로, 주제에 특화된 인공지능이 도입될 경우 혁신적으로 성과를 개선할 수 있다14고 밝히기도 하였습니다. 국내의 보건산업진흥원에서도 질병 진단 인공지능 보조 의사 시스템을 통해 환자의 종양, 심혈관 질환, 흉부 질환 등을 진단 시, 진단의 정확도 개선 및 오진 방지가 가능함을 밝힌 바 있습니다.
미국 FDA에서도 2017년 5월 의료기기 방사선보건센터(Center for Devices and Radiological Health, CDRH) 산하에 소프트웨어 개발자, AI, 클라우드 컴퓨팅 등 관련 분야 전문가 13명으로 구성된 디지털헬스 유닛을 신설한 바 있습니다. 이후 2018년 2월에 뇌졸중 분류 AI 소프트웨어가 FDA의 승인(전문의 보조, 단독 진단 불가)을 받았으며, 2018년 4월에 당뇨병성 망막증을 단독 진단하는 AI 소프트웨어가 승인 받은 바 있습니다.
그 후에도 실제 인공지능을 의료에 접목하고자 하는 다양한 시도들이 다양하게 진행되고 있습니다. 하버드 대학교의 앤드류 벡 박사는 유방암을 진단하고 암의 위치까지 맞추는 Camelyon16 대회에서 우승한 바 있습니다. 당시 암인지 여부를 판단하는 문제에 대해서 AUC 값은 0.925를 기록하였으며, 인간 병리학자와 인공지능이 힘을 합쳤을 때에는 AUC 0.995를 달성하였으며, 대회 이후에 앤드류 벡 박사는 해당 솔루션을 바탕으로 Path.AI라는 인공지능 스타트업을 창업하여 알고리즘을 개선하고 있습니다.
4. 전망: 인공지능을 이용한 병리 이미지 분석 솔루션의 필요성
다시 병리학으로 돌아와서, 병리학 교육은 도제식으로 이루어지는 특성을 지녔다고 합니다. 예를 들어 전립선암의 경우 글리슨 스코어라는 기준이 있지만 교육 환경에서 세부적인 진단 디테일은 담당 교수에 의해 전수되는 것이 일반적입니다. 같은 조직 슬라이드에 대해 사람에 따라 다른 스코어가 매겨질 가능성이 존재합니다. 심지어는 농담 삼아 같은 사람이 같은 슬라이드를 식사 후에 다시 진단하면 다른 스코어가 매겨질 수 있다고도 합니다. 진단 스코어에 따라 처치 방식이 달라질 수 있기 때문에 객관적이고 정확한 진단 방식의 필요성이 큽니다.
현재 다수의 전공의 또는 전문의를 보유하지 못한 병원은 오진의 가능성이 비교적 높은데 인공지능 소프트웨어를 통해 병원 차원에서의 진단 능력 향상을 이끌어낼 수 있습니다. 또한 대량 신속 처리가 가능하여 앞서 이야기한 것처럼 과로에 시달리는, 병목자원인 전문의의 업무 처리 속도를 높여줄 수 있습니다. 슬라이드를 일일이 현미경으로 관찰, 표시하여 진단하는 방식은 노동집약적이고 다수의 슬라이드를 처리할 때 피로도가 쌓여 진단 오류를 발생시킬 수 있을 것입니다. 가령, 전공의(레지던트)가 스크리닝을 하고 전문의가 확인하는 방식으로 최종 진단이 이루어지는데, 인공지능 소프트웨어를 도입할 경우 스크리닝을 빠르고 정확하게 처리하여 전문의의 최종 의사결정을 지원해 줄 수 있습니다. 이는 다른 과와는 달리 병리과에서 더욱 절실히 필요한 솔루션이라고 판단합니다.
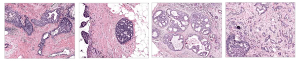
한 가지 문제점이라면 솔루션의 난이도일 것입니다. 지금까지 다양하게 개발되었던 인공지능 의료영상 분석 솔루션은 대개 엑스레이, MRI, CT 등을 그 타겟으로 합니다.

상기에서 확인할 수 있는 엑스레이나 MRI의 이미지들은 하기의 병리 이미지들에 비하자면 정형적이라고 할 수 있습니다. 하나의 단위가 대략 어디에서 시작하고 대략 어디쯤까지일지를 분간할 수 있을 것입니다. 그러나 하기 검체 사진들은 상당히 비정형적이며 어디부터 어디까지가 하나의 단위일지 판단하기 어렵습니다. 또한 앞서 언급한 것처럼 하나의 단위 이미지의 크기와 화소가 상당히 크므로 병리 이미지를 다루는 솔루션을 개발하기는 쉽지 않을 것으로 추정합니다.

- Histopathological image analysis: a review. (https://www.ncbi.nlm.nih.gov/pubmed/20671804) [본문으로]
- Digital imaging in pathology: whole-slide imaging and beyond. (https://www.ncbi.nlm.nih.gov/pubmed/23157334) [본문으로]
- The computer will see you now (http://www.nature.com/news/the-computer-will-see-you-now-1.9324) [본문으로]
- Systematic Analysis of Breast Cancer Morphology Uncovers Stromal Features Associated with Survival (http://stm.sciencemag.org/content/3/108/108ra113.long) [본문으로]
- The Value of Mandatory Second Opinion Pathology Review of Prostate Needle Biopsy Interpretation Before Radical Prostatectomy (http://www.jurology.com/article/S0022-5347(10)02994-0/fulltext) [본문으로]
- Diagnostic Concordance Among Pathologists Interpreting Breast Biopsy Specimens (https://jamanetwork.com/journals/jama/fullarticle/2203798) [본문으로]
- 매일경제, "병리과 미래 어떻게 책임질래?"…수련병원 일부서 포기자 속출 [본문으로]
- Where is the Next Generation of Pathologists? (https://thepathologist.com/issues/0114/where-is-the-next-generation-of-pathologists/) [본문으로]
- 메디컬투데이, 병리과 의사 인력부족으로 진단 51% '오진위험' 노출 [본문으로]
- http://www.docdocdoc.co.kr/news/articleView.html?idxno=1073840 [본문으로]
- http://www.docdocdoc.co.kr/news/articleView.html?idxno=1073840 [본문으로]
- http://www.docdocdoc.co.kr/news/articleView.html?idxno=1074357 [본문으로]
- A New, Evidence-based Estimate of Patient Harms Assocated with Hospital Care(John T. James, PhD, 2013) [본문으로]
- Artificial intelligence in medicine: humans need not apply?(William Diprose, Nicholas Buist, 2016) [본문으로]